「CP4715」の慢性のアレルギー性結膜炎への改善効果を発見 -世界初のアレルギー性結膜炎に対する分子治療薬の開発へ-

国立大学法人佐賀大学(本部:佐賀市本庄、学長:野出孝一、以下「佐賀大学」)は、アトピー性皮膚炎の治療薬として開発推進中のペリオスチン阻害剤「CP4715」※1が、慢性のアレルギー性結膜炎、特にアトピー角結膜炎(AKC)に対して著明な改善効果を有することを発見しました。「CP4715」を点眼薬あるいは眼瞼クリームとして開発に成功すれば、世界初の分子標的薬となります。
この成果は、佐賀大学医学部分子生命科学講座アレルギー学分野の出原賢治特任教授と同講座分子医化学分野の布村聡准教授が、国立大学法人富山大学(本部:富山市五福、学長:齋藤滋、以下「富山大学」)理事・副学長の北島勲博士、学校法人日本大学(本部:東京都千代田区、学長:大貫進一郎、以下「日本大学」)医学部付属板橋病院眼科の松田彰准教授・科長の協力を得て発見したものです。アメリカアレルギー臨床免疫学会の学会誌であるジャーナルオブアレルギークリニカルイミュノロジー誌において、日本時間11月6日午前3時にオンライン版が公開されました。
■背景
アレルギー性結膜疾患の罹患率は全人口の約45%にのぼり、その中のアトピー角結膜炎(AKC)だけをみても全人口の5.3%、20人に1人が罹患している患者数の多い病気です。また、AKC同様に慢性アレルギー性結膜炎に分類され症状が似ている春季カタル※2の罹患率は1.2%となっています。
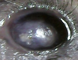
AKCは顔面にアトピー性皮膚炎を伴う患者に起こる慢性のアレルギー性結膜疾患であり、痒み,異物感,眼脂などの症状を伴います。巨大乳頭※3などの増殖性変化を伴うこともあり、悪化した場合には最悪失明に至ることもあります。
現在の治療薬としては、ステロイド点眼薬と抗アレルギー点眼薬が保険適応となっていますが、無効例が存在します。また、副作用が問題となることもあり、新たな治療薬が求められています。しかし現在、慢性アレルギー性結膜炎の発症原因となる特定の分子に対してのみ選択的に作用し副作用の少ない分子標的薬は存在していません。

■今回の研究成果
研究チームでは、以前の研究で、AKCや春季カタルの患者の眼病変において、体の中で作られるタンパク質の一種であるペリオスチンが高発現していることを鶴見大学藤島先生の解析により見出していました※4。
2019年に富山大学北島先生との共同研究によりAKCの病態によく似たモデルマウスを確立し、FADS(フェイズ)(Facial Atopic Dermatitis with Scratching)マウスと名付けました※5。このFADSマウスはアトピー性皮膚炎様の病態も発症することから、アトピー性皮膚炎の研究にも利用しているものです※6。このFADSマウスの眼病変にもペリオスチンが高発現していることから※7、ペリオスチンがAKCなどの原因となっているのではないかと考えました。
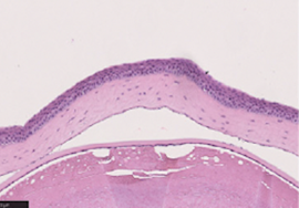
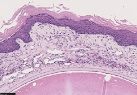
| コントロールマウス(通常のマウス) | FADSマウス | ||
![]() |
![]() |
![]() |
![]() |
| アトピー角結膜炎のモデルとなるマウスの作成 | |||
そこで、遺伝子改変技術により、生まれつきペリオスチン遺伝子を持っていないFADSマウスを作成したところ、眼病変(炎症や血管新生など)を発症しないか、眼病変が非常に軽度になりました。このことから、ペリオスチンがFADSマウスの眼病変の重要な原因となっていることが証明されました。
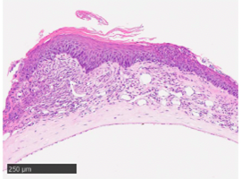
| FADSマウス(通常) | FADSマウス(ペリオスチン欠損) | ||
![]() |
![]() |
![]() |
![]() |
| ペリオスチンを欠損すると眼の炎症が通常のFADSマウスより改善 | |||
研究チームでは、もともと抗血栓剤の候補物質として開発された低分子化合物「CP4715」が、ペリオスチンと神経細胞中の受容体であるインテグリンの一種との結合を阻害して、ペリオスチンの作用を阻害することを発見しました※8。「CP4715」をFADSマウスに投与すると、アトピー性皮膚炎様の炎症や痒みが改善されることを見出しています※9。これは、ペリオスチンが痒みを起こす起痒物質の働きをしていたものを「CP4715」により神経細胞への伝達を阻害することで痒みが抑えられたと考えられます。「CP4715」はアトピー性皮膚炎の治療薬として、特に痒みに対する治療薬として現在開発を進めているところです。
この「CP4715」をAKC様の病態を発症したFADSマウスに点眼投与すると(2回/日、14日間)、眼病変が著明に改善することを、今回見出しました。「CP4715」を投与した場合、眼の炎症が改善し、眼の血管新生も改善しました。
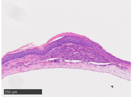
| コントロールマウス(FADSマウス) | FADSマウス(CP4715投与) | ||
![]() |
![]() |
![]() |
![]() |
| CP4715を投与すると炎症が改善する | |||
CP4715を点眼薬あるいは眼瞼クリームとして開発することにより、慢性のアレルギー性結膜炎、特にAKCに対する治療薬となる可能性があります。慢性のアレルギー性結膜炎に対する分子標的薬は存在しないことから、これに成功すれば、世界初の慢性のアレルギー性結膜炎に対する分子標的薬となります。今後創薬を進める上では、日本大学の松田先生が中心的な役割を果たしていく予定です。
※1: 「CP4715」は、明治製菓株式会社(当時、現Meiji Seika ファルマ株式会社)が創薬した循環器系疾患治療薬(抗血栓剤)の候補物質。
※2: 春季カタルは、上眼瞼結膜や角膜輪部に増殖性変化を来す、重症のアレルギー性結膜疾患。アトピー性皮膚炎を合併しているケースが多くみられる。
※3: 巨大乳頭は、上瞼の裏側に発生する直径1mm以上の隆起病変。
※4: Fujishima, J Allergy Clin Immunol, 2016
※5: Nunomura, J Allergy Clin Immunol, 2021
※6: 2023年1月 「アトピー性皮膚炎の痒みの原因を解明するとともに、その阻害剤を発見」
※7: Nunomura, J Allergy Clin Immunol, 2021
※8: Nanri, Am J Respir Cell Mol Biol, 2020
※9: Nunomura, Cell Rep, 2023
※会見発表資料はこちらからご確認ください。
【本件に関するお問い合わせ】
・研究に関すること
佐賀大学医学部 分子生命科学講座 アレルギー学分野 出原 賢治
TEL:0952-34-2335 E-mail:kizuhara@cc.saga-u.ac.jp
富山大学理事・副学長 北島 勲
TEL:076-445-6116 E-mail: kitajima@med.u-toyama.ac.jp
・報道に関すること
佐賀大学メディカル広報室 北島・奥田
TEL:0952-34-3435 E-mail: hpkoho@mail.admin.saga-u.ac.jp
富山大学総務課広報・基金室
TEL:076-445-6028 FAX: 076-445-6063
E-mail: kouhou@u-toyama.ac.jp














